Лента новостей → Микроваскулярная инвазия при гепатоцеллюлярной карциноме: может ли модель радиомики КТ оказать влияние?
Гибридная компьютерная томографическая радиомика модель продемонстрировала площадь под кривой до 86 процентов при прогнозировании микрососудистой инвазии у пациентов с гепатоцеллюлярной карциномой в недавно опубликованном исследовании.
Новое исследование предполагает, что новая радиомика модель, которая может прогнозировать микрососудистую инвазию (МВВ) на основе многофазной компьютерной томографии (КТ), может быть полезной в предоперационном планировании для пациентов с гепатоцеллюлярной карциномой (ГЦК), подвергающихся процедуре гепатэктомии.
Для исследования, недавно опубликованного в журнале Radiology , исследователи разработали гибридную многофазную модель радиомики CT для прогнозирования MVI, а также стремились идентифицировать дифференциально экспрессируемые гены, связанные с MVI у пациентов с ГЦР. Согласно исследованию, когорта исследования состояла из 773 пациентов (средний возраст 56 лет), включая 586 пациентов с вирусной инфекцией гепатита В (76 процентов) и 481 пациента с циррозом печени (65 процентов).
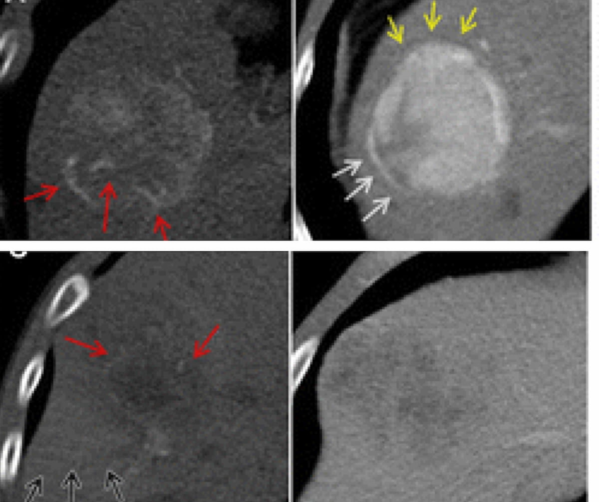
Исследователи обнаружили, что комбинация признаков гибридной модели, включая двухпризнаковый предиктор венозной инвазии (TTPVI), псевдокапсулу, показатель радиомики и перитуморальное усиление, имеет площадь под кривой (AUC) от 84 до 86 процентов для предсказания MVI в больных ГЦК. Четыре вышеупомянутых признака были независимо связаны с MVI с многопараметрическим анализом, показывающим отношение шансов (ОШ) 6,78 для TTPVI, 4,50 OR для псевдокапсулы, 3,20 OR для перитуморального усиления и 2,23 OR для оценки радиомики.
В когорте исследования исходов из 121 пациента со средним периодом наблюдения 20,6 месяца исследователи отметили рецидив ГЦК у 35 пациентов, 32 пациента умерли. Авторы исследования заявили, что безрецидивная выживаемость составила 74,4% в течение одного года и 71,1% в течение двух лет. Согласно исследованию, общая выживаемость варьировалась от 93,4% в течение одного года до 73,6% в течение пяти лет. Исследователи заявили, что оценка гибридной модели была связана как с безрецидивной выживаемостью, так и с общей выживаемостью пациентов с ГЦК в исследовании.
«…Гибридная модель, сочетающая псевдокапсулу (TTPVI), перитуморальное усиление и радиомическую оценку (результат общей радиомической модели), показала наилучшие результаты для всех групп пациентов. Более того, оценка, полученная с помощью модели, может успешно классифицировать ГЦК с точки зрения общей выживаемости и ранней безрецидивной выживаемости», — написал Шенхонг Джу, доктор медицины, доктор философии, который работает в Ключевой лаборатории молекулярной и функциональной визуализации Цзянсу в рамках Отделение радиологии в больнице Чжунда и медицинский факультет Юго-восточного университета в Нанкине, Китай.
.HighRisk(Bottom).MVI.CT.4.27.23.Soc.FINAL.png?fit=crop&auto=format)
(Примечание редактора: соответствующий контент см. в разделах « Текущие перспективы системы стадирования BCLC для гепатоцеллюлярной карциномы », « Сокращенная МРТ и ранняя стадия гепатоцеллюлярной карциномы: что показывает новое многоцентровое исследование » и « Исследование говорит, что модель МРТ с машинным обучением может помочь предсказать Риск рецидива гепатоцеллюлярной карциномы »).
Основываясь на своих выводах, Джу и его коллеги предположили, что различные типы иммунных клеток, которые могут инфильтрировать опухоль, могут играть роль в наличии особенностей визуализации, связанных с MVI.
В сопроводительной редакционной статье Рональд М. Саммерс, доктор медицины, доктор философии. отметили, что низкая инфильтрация иммунных клеток в MVI-позитивных опухолях с участием метаболизма глюкозы была еще одним ключевым открытием, которое может иметь значение для лечения ГЦК.
«Неудивительно, что опухоли обладают высокой метаболической активностью с повышенными потребностями в энергии и метаболизмом глюкозы, составляющими эффекта Варбурга, — пишет доктор Саммерс, старший исследователь и штатный рентгенолог Клинического центра NIH в Бетесде, штат Мэриленд. — Что такое больший интерес представляет снижение инфильтрации иммунных клеток в MVI-положительных опухолях; это открытие предполагает подход к улучшению терапии, основанный на большей активации иммунных клеток или проникновении опухоли».
Указав на высокую заболеваемость первичным раком печени у мужчин в Восточной Азии, авторы исследования признали возможность систематической ошибки отбора, учитывая состав исследуемой когорты (633 мужчины и 140 женщин). Они отметили, что у большинства пациентов в исследовании был ГЦК, связанный с вирусом, и подчеркнули, что необходима дополнительная проверка модели, прежде чем результаты исследования можно будет экстраполировать на пациентов с ГЦК, связанным с неалкогольным стеатогепатитом. Исследователи также признали предвзятость, присущую ретроспективному исследованию.